Veneers are the comfortable, conservative way to a beautiful smile! Imagine what it would be like to have the smile of your dreams. This is possible with veneer systems. In as few as two or three appointments, our experts can create this kind of smile for you – a smile that will radiate confidence and vitality.































































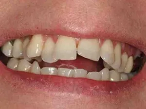
Check out results from some of the amazing patients at Woodlands Family Dental. We pride ourselves on helping you discover the procedure that’s right for you and the one that gives you the best results. Whether you are looking for orthodontics, cosmetic dentistry or have a broken tooth, we are here to meet your dental needs.









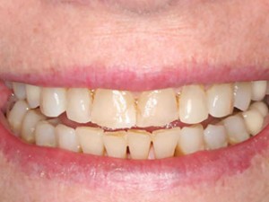
Check out results from some of the amazing patients at Woodlands Family Dental. We pride ourselves on helping you discover the procedure that’s right for you and the one that gives you the best results. Whether you are looking for orthodontics, cosmetic dentistry or have a broken tooth, we are here to meet your dental needs.






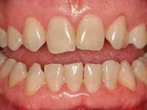
Check out results from some of the amazing patients at Woodlands Family Dental. We pride ourselves on helping you discover the procedure that’s right for you and the one that gives you the best results. Whether you are looking for orthodontics, cosmetic dentistry or have a broken tooth, we are here to meet your dental needs.





.webp)